
Skintify Blog: Tips & Solutions for Flawless Skin
The At-Home Solution to Skin Tags, Warts & More
Tired of skin tags, warts, or dark spots? Skintify offers a safe, pain-free, and affordable at-home solution to help you reclaim flawless skin and confidence in just weeks. Trusted by thousands, Skintify comes with a 60-day risk-free trial—because clear skin shouldn’t cost a fortune.
Skintify-blog

Why Do Skin Tags Pop Up? Can You Make Them Go A...
Those harmless pesky little skin growths can pop up anywhere and be uncomfortable. If you're tired of living with skin tags, this comprehensive guide is for you. We'll delve into...
Why Do Skin Tags Pop Up? Can You Make Them Go A...
Those harmless pesky little skin growths can pop up anywhere and be uncomfortable. If you're tired of living with skin tags, this comprehensive guide is for you. We'll delve into...

How Do Professionals Remove Skin Tags? (2023)
If you're considering professional assistance to bid farewell to those pesky skin tags, you're in the right place. We will be your guide as we delve into the world of...
How Do Professionals Remove Skin Tags? (2023)
If you're considering professional assistance to bid farewell to those pesky skin tags, you're in the right place. We will be your guide as we delve into the world of...

Understanding Skin Tags Different Types & A...
Understanding Skin Tags Different Types & Appearances Published on Aug 03, 2023 Types of skin tags Common skin tag types Health Implications Are you ready to recognize your skin tags?...
Understanding Skin Tags Different Types & A...
Understanding Skin Tags Different Types & Appearances Published on Aug 03, 2023 Types of skin tags Common skin tag types Health Implications Are you ready to recognize your skin tags?...

Comprehensive Guide to Plasma Pen Treatment: Be...
Comprehensive Guide to Plasma Pen Treatment: Benefits, Risks, and Aftercare Published on Aug 02, 2023 Plasma pen treatment What is plasma treatment? Using plasma pen for skin tag and mole...
Comprehensive Guide to Plasma Pen Treatment: Be...
Comprehensive Guide to Plasma Pen Treatment: Benefits, Risks, and Aftercare Published on Aug 02, 2023 Plasma pen treatment What is plasma treatment? Using plasma pen for skin tag and mole...

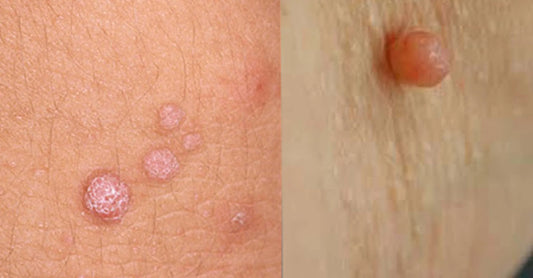
Skin Tag vs. Wart: Understanding the Difference
Skin Tag vs Wart: Understanding the Difference Published on Aug 01, 2023 Skin tags vs Warts Skin Tags Warts Differences between Now do you know how to get started? If you've...
Skin Tag vs. Wart: Understanding the Difference
Skin Tag vs Wart: Understanding the Difference Published on Aug 01, 2023 Skin tags vs Warts Skin Tags Warts Differences between Now do you know how to get started? If you've...

Skin Tags Medical Guide: Should You Get Surgery?
Skin Tags Medical Guide: Should You Get Surgery? Published on Jul 30, 2023 Exploring Surgical and Medical Skin Tag Removal Options Medical procedures Surgical removal Cauterization removal Are these professional methods...
Skin Tags Medical Guide: Should You Get Surgery?
Skin Tags Medical Guide: Should You Get Surgery? Published on Jul 30, 2023 Exploring Surgical and Medical Skin Tag Removal Options Medical procedures Surgical removal Cauterization removal Are these professional methods...